iVC HGAで若返る
2025-09-02 11:14:14

成和化成のiVC HGAが細胞の若返りを可能にする可能性

成和化成のiVC HGAが細胞の若返りを可能にする可能性



化粧品業界で革新的な成果を上げている株式会社成和化成が、オリジナルビタミンCシリーズ「iVC®」のひとつであるiVC HGAについての研究結果を発表しました。この研究は第50回日本香粧品学会にて行われ、老化した線維芽細胞を正常に戻す効果が確認されたことから、非常に注目されています。

老化とオートファジーの関係



細胞の老化は、オートファジーと呼ばれる重要なプロセスによって直結しています。オートファジーは、細胞の中の不要物を取り込み、それを分解・再利用する一連の流れを指します。近年の研究によると、加齢に伴いこの機能が低下し、細胞の質やエネルギー代謝に悪影響を及ぼすことが分かっています。そのため、オートファジーのメカニズムを理解することで、老化防止や健康的な長寿に関する新しい知見を得ることが期待されています。

iVC HGAの特長



iVC HGA(ヘキシル3-グリセリルアスコルビン酸)は、成和化成が独自に開発したビタミンC誘導体です。この成分は、シミやくすみを改善する驚異的なブライトニング作用を持っています。研究により、iVC HGAはメラノサイトを含む複数の皮膚細胞に対し、オートファジーの活性化効果を持つことが確認されています。

最近の研究では、紫外線によって老化した線維芽細胞がiVC HGAの処理によって正常の状態に戻る可能性が示されました。これは肌の若返りを期待させる大きな発見です。

老化細胞の指標とiVC HGAの効果



細胞の老化はしばしばp21因子の発現量の増加で示されます。老化した線維芽細胞ではp21の発現が高い一方、iVC HGAを処理した細胞ではこの発現量が低下すると確認されています。これは、iVC HGAが老化細胞の「若返り」に寄与していることを示唆しています。

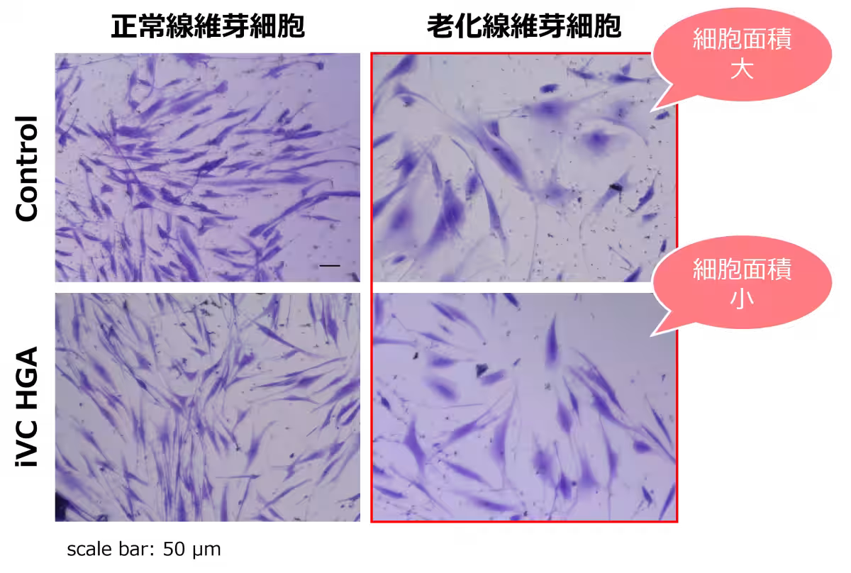
また、老化細胞は正常細胞に比べて肥大化が見られ、これはオートファジーの機能低下が原因です。研究では老化した線維芽細胞が肥大化していることが示されましたが、iVC HGAを用いることでその肥大化が抑制され、細胞の面積が減少していることが観察されています。

コラーゲン線維形成の改善



さらに、iVC HGAがコラーゲンを生成する線維芽細胞の老化を改善することも確認されました。iVC HGAを処理した老化細胞では、より細いコラーゲン線維が形成されており、コラーゲン生成の回復が見られました。これにより、肌の質感や弾力の改善が期待されます。

未来への期待



今回の研究結果は、iVC HGAが肌の若返りに寄与する可能性を示しています。シミやくすみの改善だけでなく、たるみやしわに対する効果も期待され、さらなる研究が求められています。成和化成は今後もiVC HGAのオートファジー活性化作用の解明を進め、様々な肌の悩みに関する解決策を探求していく予定です。

会社概要



株式会社成和化成は、大阪府東大阪市に本社を置く化粧品原料の研究・製造企業です。社員の約半分が研究に従事し、これまでに100種類以上のオリジナル成分を開発しています。公式YouTubeチャンネルや特設サイトでも、さらなる情報発信を行っています。

詳しいお問い合せは、成和化成広報・企画課までどうぞ。


画像1

画像2

画像3

画像4

画像5

関連リンク

サードペディア百科事典: 老化細胞 成和化成 iVC

トピックス(ビューティ)

【記事の利用について】

タイトルと記事文章は、記事のあるページにリンクを張っていただければ、無料で利用できます。
※画像は、利用できませんのでご注意ください。

【リンクついて】

リンクフリーです。